ZahnTech Talk
-
Every stroke we took across the Gulf Stream, spanning 80 miles from Bimini, Bahamas to Lake Worth Beach, Florida, was infused with more than physical effort—it was fueled by deep purpose. The Crossing for Cystic Fibrosis, organized by Piper’s Angels Foundation, began as a mission inspired by founder Travis Suit’s
-
The digital age in dentistry is no longer “the latest and greatest”—it’s now the standard. Most dental practices today are equipped with intraoral scanners, and digital workflows have become commonplace.However, certain challenges remain—particularly in the area of occlusal accuracy. Despite advances in scanning technology, we still encounter cases where the
-
That’s a wrap on IDS 2025!This year, our very own Alexander Wünsche crossed the Atlantic to visit his birth country and attend The International Dental Show (IDS) in Cologne, Germany.As many know, IDS is the world’s largest dental show, and it’s nearly impossible to see everything. But Alex certainly experienced
-
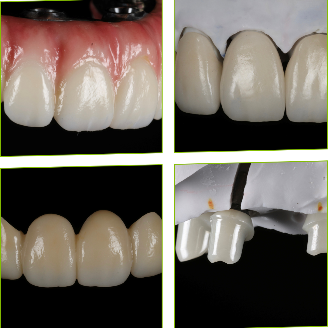
The myth surrounding zirconia has persisted for many years. When it first entered our industry, it was white, opaque, hard, and difficult to utilize to its full extent. But time has passed – equipment, tools, materials, and knowledge have evolved significantly.Today, we can fabricate monolithic zirconia restorations – ranging from
-
I hope this comes as no surprise – Zahntechnique moved to the beautiful town of Miami Lakes in March of this year. This move marked a significant milestone for the company on multiple levels. Most importantly, we now own the space in which we operate our business. For those of




